Fotokompozitní (bílá) výplň
Výplní ošetřujeme zub poškozený zubním kazem nebo úrazem. Zubní kaz může být přítomen na intaktním zubu, nebo kolem starších výplní. Fotokompozitní výplní lze ošetřit téměř všechny typy defektů, díky čemuž tato technologie nahradila starší typy výplní (např. amalgámové). Pro zhotovení kvalitní kompozitní výplně je však nutné úzkostlivě dodržet technologii zhotovení.
Výhody fotokompozitních výplní:
1) Materiál výplně je přímo mikromechanicky „nalepený“ na zub. To umožňuje maximální měrou šetřit zubní tkáně a „vrtat méně“.
2) Biomechanické vlastnosti jsou podobné vlastnostem zubu.
3) Neobsahují rtuť.
4) Vynikající estetické vlastnosti.
5) Opravitelnost - narozdíl od amalgámové výplně není nutné celou výplň při opravě odstranit.

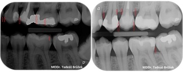
Nahrazení původní nepřesné amalgámové výplně fotokompozitní výplní. Z rentrenového snímku před a po je vidět, že se nejedná pouze o estetickou záležitost. Fotokompozitní výplň umožňuje přesnější ošetření a snižuje pravděpodobnost vzniku dalších zubních kazů u spojení zubu a staré nepřesné výplně.
Postup zhotovení
Po znecitlivění zubu lékař odstraní zubní kaz a zbytky stávajících výplní. Zahladí všechny okraje preparace a zub izoluje od dutiny ústní pomocí kofferdamu - "blány", která umožní aplikovat fotokompozitní plombu v suchém prostředí. Pouze tak je možné zajistit ideální vlastnosti a životnost plomby. Pokud je kaz v mezizubním prostoru, lékař zub dostavuje s pomocí matrice utěsněné klínkem, aby výplňový materiál přesně přiléhal k okraji zubu.
Následuje aplikace adhezivního systému a modelace výplně tak, aby odpovídala tvaru přirozeného zubu. V průměru trvá celý tento proces kolem 1 hodiny. Během jedné dvouhodinové návštěvy lze ošetřit 2 až 4 sousedící zuby. Při odstranění kazu a aplikaci výplně je vhodné použití zvětšení (dentální mikroskop, lupové brýle), které umožní přesnější práci.
